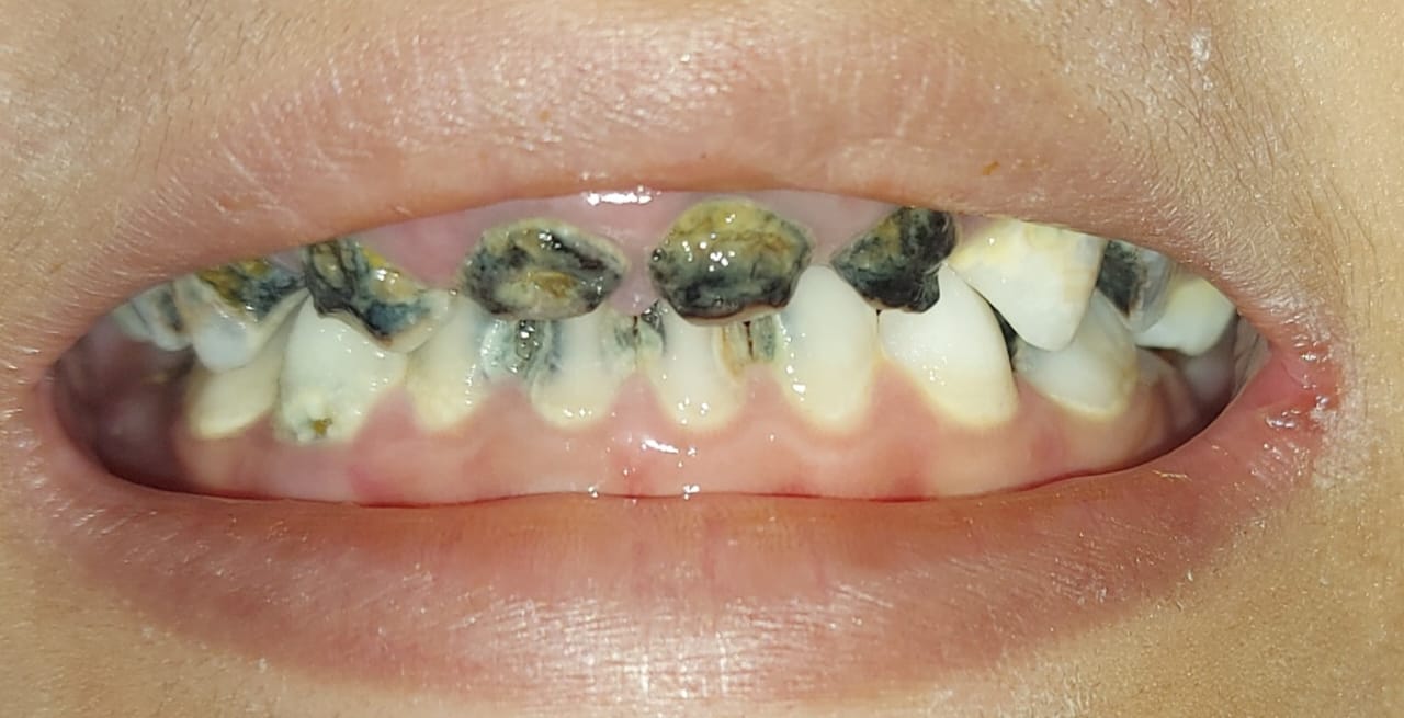
rampantcaries A 6-year-old presented with a complaint of pain with a history of brushing once a week. Clinical examination showed caries involving multiple teeth