
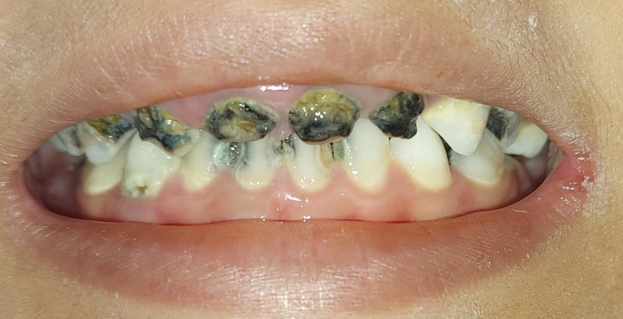
A 6-year-old presented with a complaint of pain with a history of brushing once a week. Clinical examination showed caries involving multiple teeth
Dentistry is a field of precision and expertise, and one of the most prevalent challenges dental professionals face is rampant caries. This aggressive form of tooth decay can be a perplexing issue for both patients and dental practitioners. In this article, we will explore the nuances of rampant caries, its causes, prevention, and treatment, offering valuable insights for dentistry students.
What is Rampant Caries?
Rampant caries, often referred to as “baby bottle tooth decay” or “early childhood caries,” is a severe and rapidly progressing dental condition characterized by extensive tooth decay, particularly in young children. It can also affect adults who have compromised immune systems or other underlying health issues.
Causes of Rampant Caries
- Poor Oral Hygiene: Inadequate brushing and flossing can lead to the accumulation of plaque and bacteria on tooth surfaces, accelerating decay.
- Frequent Sugar Exposure: High sugar intake, especially in the form of sugary drinks or frequent snacking, provides a fertile environment for harmful bacteria.
- Lack of Fluoride: Insufficient fluoride exposure, whether through water, toothpaste, or professional treatments, can weaken tooth enamel’s resistance to decay.
- Medical Conditions: Certain medical conditions, medications, or treatments can reduce saliva production, increasing the risk of rampant caries.
Prevention Strategies
- Oral Hygiene Education: Encourage patients to maintain proper oral hygiene practices, including regular brushing, flossing, and routine dental check-ups.
- Dietary Counseling: Advise patients to limit sugar consumption, especially between meals, and promote a balanced diet rich in nutrients.
- Fluoride Treatments: Recommend fluoride supplements or topical treatments to strengthen tooth enamel.
- Saliva Stimulants: For patients with reduced saliva flow, suggest sugar-free gum or lozenges to stimulate saliva production.
Treatment Approaches
- Restorative Dentistry: In advanced cases, restorative procedures such as fillings, crowns, or extractions may be necessary to address extensive decay.
- Behavior Modification: For young children, educating parents about proper bottle-feeding practices and weaning from the bottle at an appropriate age is crucial.
- Fluoride Application: Professional fluoride treatments can help strengthen weakened enamel and prevent further decay.
- Preventive Sealants: Application of dental sealants can protect vulnerable tooth surfaces from bacterial invasion.
In conclusion, rampant caries is a formidable challenge that dentists must be well-prepared to address. By understanding its causes, implementing preventive strategies, and employing appropriate treatments, dentistry students can play a pivotal role in improving oral health and preventing this aggressive form of tooth decay. As future dental professionals, your knowledge and guidance will be invaluable in promoting healthy smiles for patients of all ages.