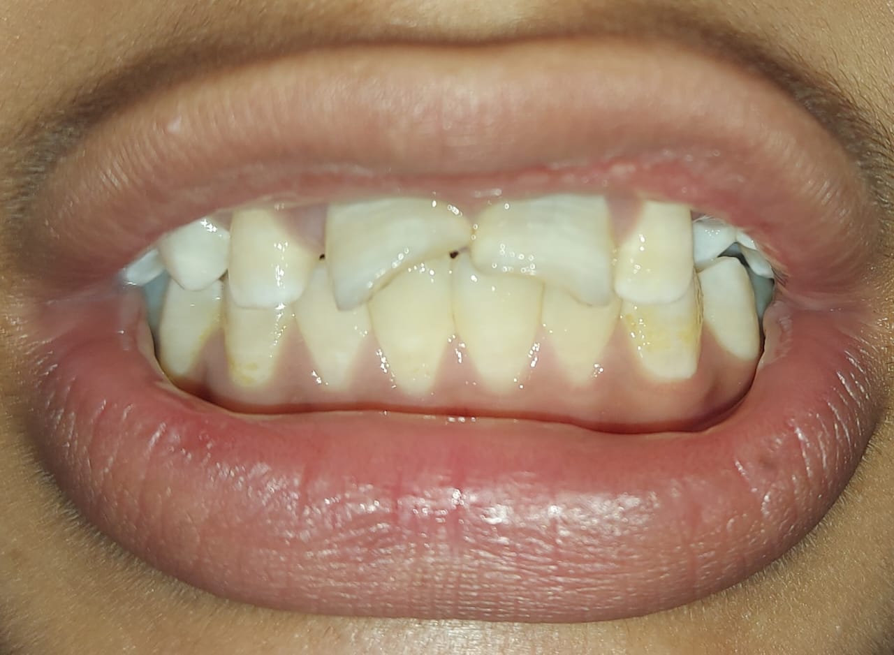
A complicated crown fracture, a common dental injury, occurs when a tooth’s outer layer (the enamel) is damaged, exposing the inner dentin and potentially affecting the pulp. This type of fracture can result from various causes, such as accidents, falls, or biting on hard objects. In this article, we will delve into the key aspects of complicated crown fractures, including their causes, symptoms, diagnosis, and available treatment options.
Causes:
Complicated crown fractures typically result from traumatic incidents where the force applied to the tooth exceeds its structural strength. This can happen in accidents, sports injuries, or while biting on hard substances, such as ice or unpopped popcorn kernels.
Symptoms:
Patients with complicated crown fractures may experience heightened sensitivity to hot and cold substances due to the exposed dentin. Additionally, they may feel pain when biting or chewing, especially when pressure is applied to the fractured tooth. In some cases, the fracture may extend into the pulp chamber, leading to severe pain and potential infection.
Diagnosis:
Diagnosing a complicated crown fracture involves a dental examination, including X-rays. The dentist will assess the extent of the fracture, the involvement of dentin or pulp, and any associated damage. Pulp testing may be required to determine the vitality of the tooth’s inner nerve tissue.
Treatment Options:
- Dental Bonding or Veneers: For minor fractures that involve only the enamel, dental bonding or veneers can restore the tooth’s appearance and function.
- Root Canal Therapy (RCT): When the fracture extends into the pulp, RCT is necessary to remove the damaged pulp, clean the root canals, and seal the tooth to prevent infection.
- Dental Crowns: In cases of extensive fractures, a dental crown may be recommended to provide structural support and protect the remaining tooth.
- Extraction: If the tooth is severely damaged and cannot be saved, extraction may be required to prevent infection from spreading.
In conclusion, a complicated crown fracture can result from various traumas and is characterized by exposed dentin or pulp. Symptoms include sensitivity and pain when eating or drinking. Accurate diagnosis and timely treatment are essential to preserve the affected tooth and prevent complications.
It is crucial to consult a dentist for a thorough evaluation and to determine the most appropriate treatment option for each unique case of a complicated crown fracture. The choice of treatment will depend on the severity of the fracture and the degree of pulp involvement, ensuring the best possible outcome for the patient.
