
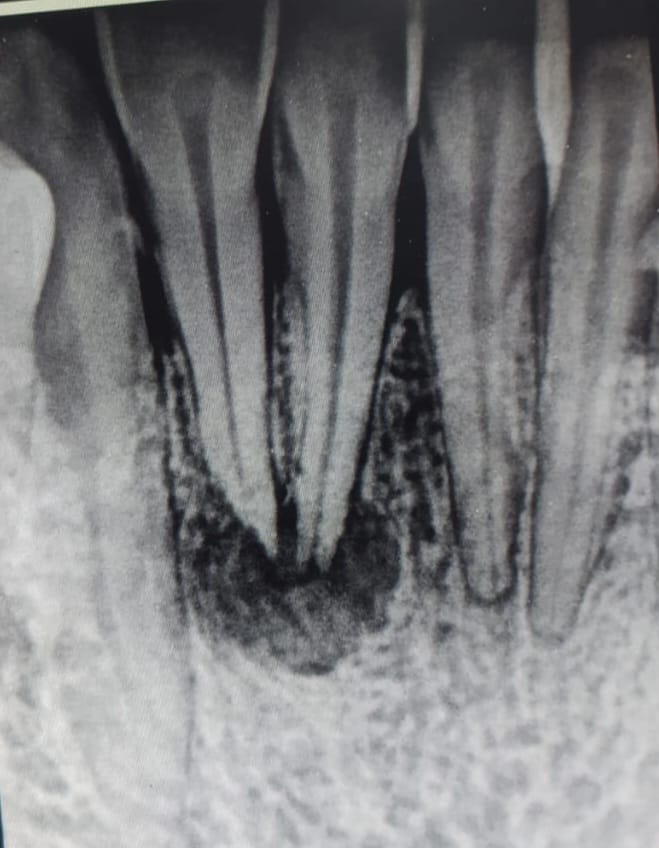
A 35-year-old male presented with the chief complaint of pain in the lower right anterior teeth. Clinical examination showed generalized discoloration due to betal nut chewing. Tooth no. 41,42 tender to percussion. Grade 1 mobility in tooth no.42
Introduction:
Betal nut, also known as areca nut, is a widely consumed psychoactive substance, particularly in parts of Asia, where it’s often chewed with betel leaves and slaked lime. While its cultural significance and stimulant properties are well-known, it’s essential to shed light on the not-so-sweet consequences of betel nut chewing for dental health, especially for dental students keen on understanding the impact of various habits on oral well-being.
Understanding Betel Nut Chewing:
Betel nut chewing involves the habitual mastication of areca nut slices, often wrapped in betel leaves. It’s deeply ingrained in many Asian cultures and is often considered a social tradition. However, it’s crucial to be aware of its potential detrimental effects on oral health.
The Impact on Teeth:
- Tooth Discoloration: Betel nut contains compounds that can lead to unsightly tooth discoloration over time, resulting in a yellow or brownish stain on teeth.
- Tooth Decay: Betel nut contains sugar and constant exposure to sugar can increase the risk of dental caries (cavities). The lime used in betel nut preparation can also contribute to enamel erosion.
- Gum Problems: Betel nut chewing has been linked to gum problems such as gum recession, inflammation, and periodontal disease. The habit can weaken gum tissues, making them more susceptible to infections.
- Oral Cancer Risk: Perhaps the most concerning consequence, betel nut chewing is a significant risk factor for oral cancer. Combining areca nut, betel leaves, and slaked lime produces carcinogenic compounds that can lead to potentially life-threatening malignancies.
Prevention and Awareness:
For dental students and healthcare professionals, it’s vital to be aware of the prevalence of betel nut chewing in specific populations and the associated dental health risks. Encouraging patients to quit this habit and educating them on its potential harm can be an essential part of preventive dentistry.
Conclusion:
Betel nut chewing, deeply rooted in cultural practices, has undeniable consequences for dental health. It can lead to tooth discoloration, decay, gum problems, and, most alarmingly, an increased risk of oral cancer. Dental students and professionals play a crucial role in raising awareness, advising patients against this habit, and promoting regular dental check-ups to monitor and mitigate its effects.
In the quest for maintaining healthy smiles and preventing dental issues, understanding the impact of betel nut chewing is a valuable piece of knowledge for dental students and practitioners alike.
