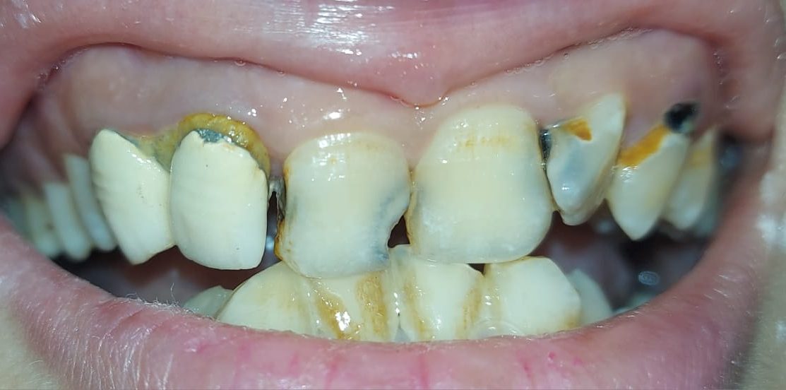
Cervical caries, often referred to as root caries, is a specific type of dental decay that affects the tooth’s root surface near the gumline. Unlike typical cavities that form on the crown (top) of the tooth, cervical caries target the tooth’s root, making them a distinct dental concern. In this article, we will explore the causes, symptoms, prevention, and treatment options for cervical caries.
Cervical caries primarily develop due to the same factors that contribute to traditional dental cavities. These factors include:
- Diet: Consuming sugary and acidic foods and beverages can create an environment conducive to dental decay. Bacteria in the mouth feed on sugars and produce acid, which can erode tooth enamel.
- Poor Oral Hygiene: Inadequate brushing and flossing can lead to the accumulation of plaque and bacteria on the tooth’s surface, especially near the gumline, where it is harder to reach.
- Dry Mouth: Conditions that reduce saliva production, such as medications, certain medical conditions, or aging, can increase the risk of caries as saliva helps neutralize acids and remineralize teeth.
- Gum Recession: Receding gums expose the tooth’s roots, which are not as well-protected by enamel as the crown. This makes them more vulnerable to decay.
- Bruxism (Teeth Grinding): Excessive grinding or clenching of teeth can wear away enamel and create small grooves or notches where bacteria can accumulate.
Symptoms of Cervical Caries
Cervical caries may not always exhibit noticeable symptoms in their early stages. However, as they progress, individuals may experience:
- Tooth Sensitivity: Sensitivity to hot, cold, sweet, or acidic foods and beverages is common when dental decay nears the nerve.
- Toothache: As the decay advances, persistent or intermittent toothaches may develop, often worsened by eating or drinking.
- Visible Decay: In later stages, visible cavities or notches may be observed near the gumline on the affected teeth.
- Gum Recession: Cervical caries can contribute to further gum recession and exacerbate the problem.
Prevention of Cervical Caries
Preventing cervical caries involves maintaining good oral hygiene practices and adopting a tooth-friendly lifestyle:
- Brush and Floss Regularly: Brush teeth at least twice a day and floss daily to remove plaque and food particles from all tooth surfaces.
- Use Fluoride: Choose toothpaste and mouthwash containing fluoride to strengthen tooth enamel.
- Balanced Diet: Limit sugary and acidic foods and beverages. Opt for a balanced diet rich in calcium and other essential nutrients for dental health.
- Saliva Stimulation: Stay hydrated and consider using sugar-free gum or lozenges to stimulate saliva production if you have dry mouth.
- Regular Dental Check-ups: Visit your dentist for regular check-ups and cleanings to detect and address dental issues early.
Treatment of Cervical Caries
If cervical caries are detected, treatment options may include:
- Fluoride Treatment: In the early stages, fluoride application can help remineralize the affected area and halt decay progression.
- Dental Fillings: For more advanced caries, your dentist may need to remove the decayed portion and place a dental filling, often made of composite resin or amalgam.
- Dental Crowns: In severe cases where a large portion of the tooth is affected, a dental crown may be recommended to restore its structure and function.
- Root Canal Therapy: If the decay has reached the tooth’s nerve, a root canal procedure may be necessary to remove the infected pulp and save the tooth.
- Preventive Measures: Your dentist may suggest preventive measures like dental sealants or varnishes to protect vulnerable areas from further decay.
In conclusion, cervical caries pose unique challenges to dental health, targeting the tooth’s roots near the gumline. However, with diligent oral hygiene, a balanced diet, and regular dental check-ups, individuals can prevent and address cervical caries effectively, ensuring their long-term dental well-being. If you suspect cervical caries or experience any symptoms, consult your dentist promptly for a proper evaluation and treatment plan.

